你有没有想过,有时候我们的身体构造也会成为网络上的热门话题呢?比如,最近就有不少朋友在问我:“你知道成人舌系带修剪的视频吗?”嗯,这个话题还真是挺有意思的。今天,我就来给你详细介绍一下这个话题,让你对这个小众话题有更深入的了解。
一、什么是舌系带修剪?

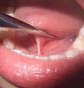
首先,得先弄清楚什么是舌系带。舌系带,简单来说,就是连接舌头底部和口腔底部的一条筋膜。有些人因为舌系带过短,导致舌头活动受限,说话发音不清,甚至吃饭都成问题。这时候,医生就会建议进行舌系带修剪手术。
二、为什么有人需要修剪舌系带?

1. 发音问题:舌系带过短的人,舌头活动受限,发音时可能会出现“l”和“r”等音发不出来的情况。
2. 吞咽困难:舌系带过短的人,在吞咽食物时可能会感到不适,甚至出现吞咽困难。
3. 口腔卫生问题:舌系带过短的人,舌头活动受限,口腔清洁起来比较困难,容易导致口腔疾病。
三、舌系带修剪手术的过程

1. 术前准备:医生会先进行详细的检查,确定是否需要进行舌系带修剪手术。
2. 手术过程:手术通常在局部麻醉下进行,医生会使用手术刀将舌系带剪断,然后进行缝合。
3. 术后恢复:术后需要保持口腔清洁,避免感染。一般术后1-2周即可恢复正常。
四、舌系带修剪视频的播放
随着网络的发展,越来越多的舌系带修剪视频出现在网络上。这些视频通常由医生或专业人士拍摄,详细介绍了手术过程、注意事项以及术后恢复等。
1. 手术过程视频:这类视频会展示手术的全过程,让观看者对手术有更直观的了解。
2. 术后恢复视频:这类视频会介绍术后恢复的注意事项,帮助患者更好地进行术后护理。
3. 患者分享视频:有些患者会在视频中分享自己的手术经历和术后感受,为其他患者提供参考。
五、观看舌系带修剪视频的注意事项
1. 选择正规渠道:观看舌系带修剪视频时,一定要选择正规渠道,避免观看到虚假、不实的视频。
2. 理性对待:观看视频时,要保持理性,不要盲目相信视频中的内容。
3. 咨询专业人士:在考虑进行舌系带修剪手术之前,一定要咨询医生或专业人士,了解自己的具体情况。
成人舌系带修剪视频的播放,为那些对此感兴趣的人提供了丰富的信息。不过,在观看视频的同时,也要保持理性,避免盲目跟风。毕竟,每个人的情况都是独特的,手术与否还需根据医生的建议来决定。希望这篇文章能帮助你更好地了解这个话题。